- 15 ม.ค. 2561
#ติดตามความเคลื่อนไหวได้ที่เพจความจริง และ www.tnews.co.th
ส้มเป็นผลไม้ตระกูล Citrus มีคุณค่าทางอาหารสูง ประกอบด้วยสารอาหารต่าง ๆ มากมายไม่ว่าจะเป็น ให้วิตามินซีสูง แคลเซียม วิตามินเอ วิตามินบี1 วิตามินบี2 โพแทสเซียม แคลเซียม ใยอาหาร ฟอสฟอรัส เหล็ก ซึ่งส้มแต่ละชนิดจะให้คุณค่าทางสารอาหารไม่ต่างกันมากนัก แต่ก็มีอันตรายเหมือนกัน
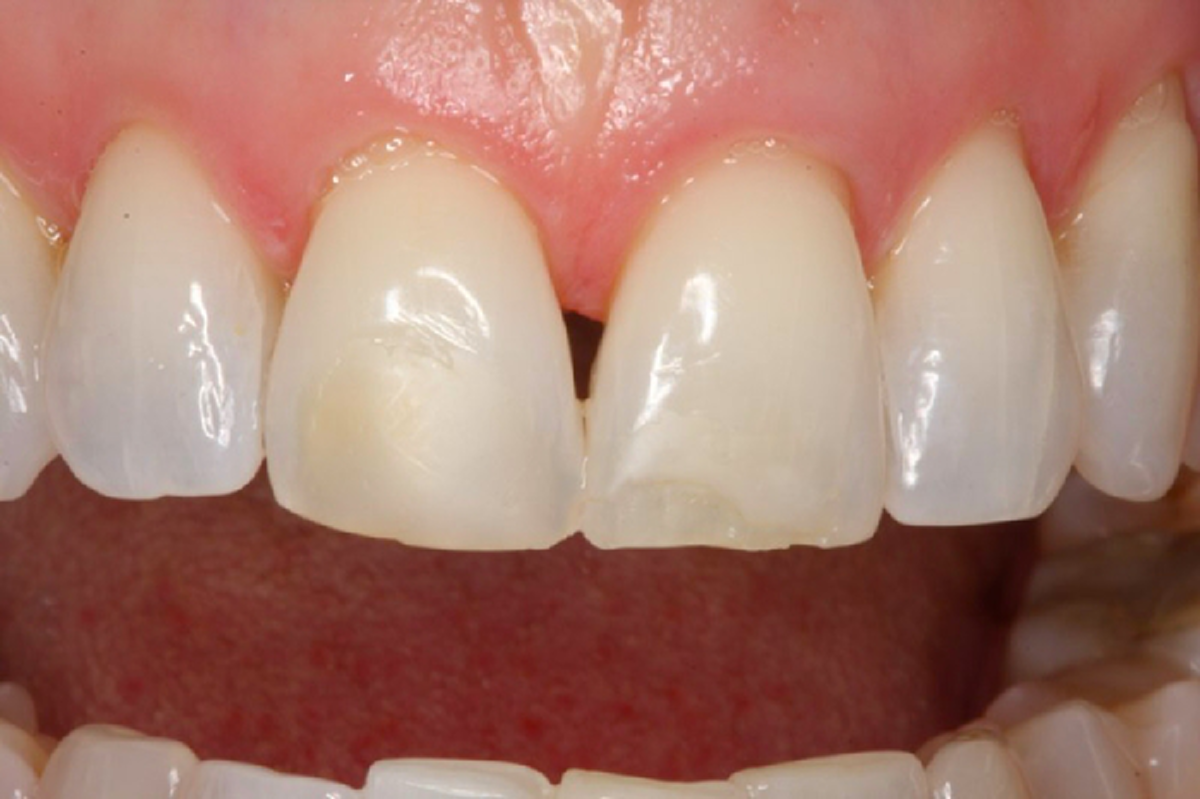
จากการวิจัยฤทธิ์กรดของน้ำส้มคั้น ทำให้ฟันสึกหรอลงได้ เพราะทำให้เคลือบฟันเสียความแข็งแกร่งลง 84%...
นอกจากนี้การศึกษาทางการแพทย์ ของทีมวิจัยของเภสัชกรในอังกฤษ พบว่าสารในเปลือกส้มมีฤทธิ์ทำลายเซลล์มะเร็งได้ โดยเฉพาะในเปลือกส้มเขียวหวานจะมีฤทธิ์ช่วยต้านทานมะเร็งบางอย่างได้ โดยสาร "ซาลเวสตรอล คิว 40" ในเปลือกส้มเขียว-หวาน สามารถทำลายเซลล์ มะเร็งที่มีส่วนประกอบของเอนไซม์ "พี 450 ซีวายพี 1 บี 1" ลงได้ ซึ่งการค้นพบ ในครั้งนี้อาจนำไปสู่แนวทางใหม่ในการบำบัดโรคมะเร็ง เช่น มะเร็งทรวงอก ปอด ต่อมลูกหมาก และรังไข่ ได้ต่อไปในอนาคต
ศูนย์การแพทย์มหาวิทยาลัยโรเชสเตอร์ อเมริกากล่าวเตือนว่า น้ำส้มคั้นมีฤทธิ์เป็นกรด กัดกร่อนฟันให้สึกหรอลงได้ ยิ่งกว่ายาฟอกฟันให้ขาวเสียอีก
คณะนักวิจัยของอาจารย์ยันแฟง เรน ได้พบในการศึกษาว่า น้ำยาไฮโรเจน เปอรอกไซด์ 6 เปอร์เซ็นต์ อันเป็นตัวยาผสมอยู่ในยาฟอกสีฟันให้ขาว ที่มีวางขายอยู่ตามร้าน จะกลายเป็นของธรรมดา เมื่อเทียบกับฤทธิ์ความเป็นกรดของน้ำส้มคั้น พวกเขาได้ประจักษ์ฤทธิ์เดชของมัน จากการศึกษาโดยอาศัย
กล้องจุลทรรศน์ส่องกวาดแนวตั้งอันใหม่ ได้พบว่าน้ำยาฟอกสีฟันไม่ทำให้ความแข็งแกร่งหรือพื้นผิวของเคลือบฟันบุบสลายแต่อย่างใด หากเคลือบฟันสึกหรอ จะเป็นเหตุให้ฟันสึกกร่อน และผุเร็วขึ้นได้
เขากล่าวว่า "ฤทธิ์กรดของน้ำส้มคั้นแรงมาก ทำให้ฟันสึกหรอลงได้อย่างแท้จริง มันอาจทำให้เคลือบฟันเสียความแข็งแกร่งลง ถึงร้อยละ 84"และเสริมว่า "เครื่องดื่มน้ำอัดลมเกือบทุกชนิด ไม่ว่าเครื่องดื่มรสหวานที่ใส่น้ำโซดารสต่างๆ และน้ำผลไม้คั้น ล้วนแต่มีธรรมชาติเป็นกรดทั้งสิ้น การศึกษาทำให้เห็นว่า ตัวอย่าง น้ำส้มคั้น อาจทำให้ฟันสึกกร่อนอย่างสำคัญ เป็นที่ทราบกันมานานแล้วว่าน้ำส้มคั้นและเครื่องดื่มรสหวานที่ใส่น้ำโซดารสต่างๆ มีความเป็นกรดสูง จึงเป็นอันตรายกับความแข็งแกร่งของเคลือบฟัน"
ยิ่งปล่อยให้ฟันกระทบกับเครื่องดื่มที่มีฤทธิ์เป็นกรดอยู่นานเท่าใด ฟันก็อาจจะสึกหรอมากเท่านั้น ผู้ที่ดื่มละเลียด กินเวลานานไม่ต่ำกว่า 20 นาที ย่อมถูกกัดกร่อน มากยิ่งกว่า ผู้ที่ดื่มรวดเดียวเกลี้ยง






