- 18 เม.ย. 2561
เผยวิธี 5 วิธีขจัดคราบหินปูนง่ายๆ เพื่อฟันที่ขาวสะอาด
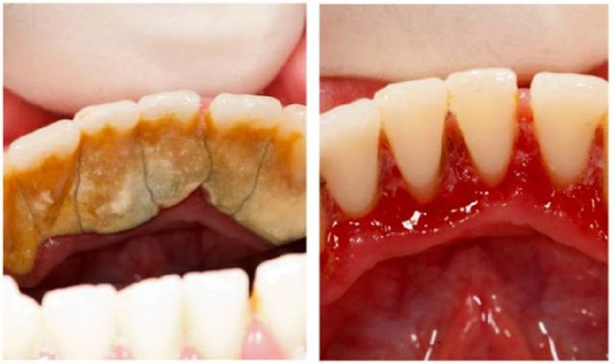
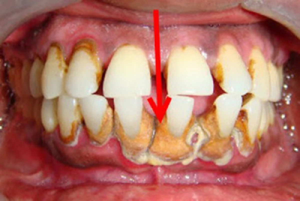
หินปูน คือ... คราบหินปูน คือ คราบแบคทีเรียที่สะสมจากน้ำลายรวมกับเศษอาหารและบวกกับเชื้อแบททีเรียจนแข็งตามตัวฟัน ซึ่งเชื้อตัวนี้ จะสามารถย่อยอาหารและหลั่งกรดออกมาทำลายเนื้อฟันทีละนิด แถมสามารถจับตัวที่ร่องเหงือกได้อีกด้วย ซึ่งหากปล่อยสะสมไว้นานวัน ก็อาจจะเป็นอันตรายต่อเนื้อเยื่อเหงือก ซึ่งจะนำไปสู่โรคที่อันตรายต่อช่องปากอย่างฟันผุ และ โรคเหงือก นอกจากนี้ หินปูน ยังส่งผลให้ความสวยงามในการยิ้ม เพราะหินปูนจะดูดซับคราบสกปรกได้ง่ายกว่า อาจจะทำให้ยิ้มไม่สวยงามอีกด้วย คลิปนี้จะเป็นวิธีการกำลังขูดหินปูนด้วยแพทย์ ลองมาดูกันว่าจะหวาดเสียวแค่ไหน
- วิเศษนิยม ยาสีฟันตำรับโบราณ 40g
เคล็ดลับไม่กี่ข้อนี้ จะทำให้คุณแน่ใจได้ว่าการแปรงฟันของคุณขจัดหินปูนออกไปแล้ว
1. ใช้แปรงสีฟันและยาสีฟันที่ถูกต้อง : ถึงแม้ว่าในตลาดจะมีแปรงสีฟันสารพัดชนิดให้เลือก แต่สมาคมทันตกรรมของสหรัฐได้บอกออกมาแล้วว่า แปรงสีฟันที่ขนแปรงทำจากไนลอน ปลายมน อ่อนนุ่ม” เป็นตัวเลือกที่ดีที่สุด ขนแปรงที่แข็งเกินไปจะทำให้ฟันสึกหรอ นอกจากการเลือกแปรงที่ถูกต้องแล้ว ก็ต้องเลือกยาสีฟันที่มีฟลูโอไลด์ เพราะฟลูโอไลด์ทำให้ฟันแข็งแรงและป้องกันฟันผุ
2. แปรงสีฟันไฟฟ้าไม่ได้ดีไปกว่าแปรงธรรมดา แต่มีคนค้นพบว่า ถ้าใช้แปรงไฟฟ้าพวกเขาจะมีวินัยในการแปรงฟันมากขึ้น แปรงฟันนานขึ้น เพราะฉะนั้นถ้าเป็นอย่างนี้ การลงทุนซื้อแปรงสีฟันไฟฟ้าสักอันก็เป็นอะไรที่ไม่เลว ทันตแพทย์แนะนำว่าควรเปลี่ยนแปลงสีฟันทุก 3-4 เดือน เพราะเมื่อใช้นานๆไป ความสามารถของแปรงในการทำความสะอาดก็จะลดลงเรื่อยๆ
3. วิธีการใช้แปรงสีฟันที่ถูกต้อง : เวลาแปรงฟัน ให้แปรงสีฟันทำมุมกับเหงือก 45 องศา แล้วแปรงออกจากเหงือก แปรงขึ้นลงไปมา หรือแปรงเป็นวงกลม อย่าใช้แรงเยอะเกินไปเพราะจะทำให้ฟันสึก
4. ต้องเน้นฟันแต่ละซี่ : การแปรงฟันทุกครั้งจ้องแน่ใจว่าแปรงครบทุกซี่ ไม่มีซี่ไหนถูกละเลยไป อย่าลืมว่านอกจากการแปรงด้านนอกแล้ว ด้านในก็สำคัญไม่แพ้กัน สิ่งที่ต้องระวังเป็นพิเศษเลยก็คืออย่าลืมแปลงในส่วนด้านในที่แปรงถึงยาก 2 นาทีเป็นเวลาที่เหมาะสมสำหรับใช้ในการแปรงฟัน
5. อย่าลืมแปรงลิ้น : เนื่องจากเศษอาหารและจุลินทรีย์มักจะเกาะติดอยู่ตามลิ้น เพราะงั้นถึงต้องแปรงลิ้นให้สะอาด ซึ่งยังช่วยให้ลมหายใจหอมสดชื่น
มีอะไรบ้างที่ต้องระมัดระวัง เพราะถ้าทำผิดเข้าใจไม่ถูกต้อง แทนที่จะขจัดคราบอาหารได้เกลี้ยง กลับมีผลข้างเคียงต่อเหงือกและฟันอีก ไม่ใช้แปรงขนแข็งมาก (เพราะจะทำให้ฟันสึกได้ง่าย)
- เลือกแปรงด้ามตรงไม่โค้งงอ เพราะแปรงเหล่านี้จะแปรงทำความสะอาดได้ดีเฉพาะบางตำแหน่ง
- อย่าแปรงฟันแบบตามใจฉันที่ถนัด คือ แปรงขึ้นลงแรงๆ วิธีแบบนี้จะทำให้เหงือกร่นง่าย เพราะหลักการที่ถูกต้อง ฟันบนให้ปัดลงล่าง ฟันล่างให้ปัดขึ้นบน แต่ถ้าแปรงขึ้นลงเร็วๆ ฟันบนจะถูกแปรงกระแทกเหงือกให้ขึ้นไป ฟันล่างก็ถูกแปรงกระแทกให้เหงือกถอยลงล่าง จนเกิดอาการเหงือกร่น เป็นสิ่งที่แก้ไขให้กลับมาเหมือนเดิมยาก และทำให้มีอาการเสียวฟัน เวลาแปรงด้านข้างก็จะถูเข้าออกแรงๆ เหมือนเลื่อยแบบนี้ ก็ทำให้คอฟันสึกเหมือนการโค่นต้นไม้ รอยสึกจะทำให้มีอาการเสียวฟัน ถ้าสึกเข้าไปลึกมาก อาจต้องรักษารากฟัน
-อย่าใช้ไม้จิ้มฟันทำความสะอาดด้านซอกฟัน เพราะไม้จิ้มฟันมีผลต่อเหงือก ทำให้เกิดช่องว่างระหว่างฟันมากขึ้น ให้ใช้ dental floss แทน น้ำยาบ้วนปากช่วยทำความสะอาดช่องปาก โดยการลดจำนวนแบคทีเรียชั่วขณะ ดังนั้น ยังต้องแปรงฟันให้สะอาดด้วย ฟันสวยสุขภาพดีตลอดชีวิตเป็นเรื่องที่เป็นไปได้ หากเรารู้จักดูแลรักษาฟันให้รอดพ้นจากการเกาะตัวของคราบหินปูน
สูตรที่ 2 ผงขมิ้น ผงขมิ้นนอกจากจะดีต่อผิวแลัวยังช่วยให้ เปลั้ยนฟันสีเหลือง ๆ ให้ขาวขึ้นได้ เพราะผงขมิ้นมีฤทธิ์ต่อต้านอนุมูลอิสระและต่อต้านแบคทีเรียนั้นเอง แค่เรานำแปรงสีฟันเปียกหมาดๆมาจุ่มกับผงขมิ้นเพียงเล็กน้อยแลัวน้ำมาแปรงทิ้งไว้ 5 นาทีแลัวบ้วนปากออก หลังจากนั้นแปรงด้วยยาสีฟันปกติ ทำแบบนี้อย่างสม่ำเสมอรับรองว่าฟันขาวขึ้นแน่นอน
สูตรที่ 3 ผงถ่าน ฟันเหลืองจนเราไม่มีความมั่นใจต่อการพูดคุยกับคนอื่นอาจจะทำให้ส่งกลิ้นต่อไปไม่ต้องกังวล แค่หยิบแปรงสีฟันเป่ียก มาจุ่มกับผงถ่านแลัวน้ำมาขัดถูฟันนานๆ สักพัก แลัวก็ล้างออกด้วยน้ำสะอาดแลัวแปรงสีฟันปกติเท่านี้ก็สามารถทำให้ฟันของคุณขาวขึ้นจนรู้สึกได้เลย
สูตรที่ 4 เปลือกกลัวย เปลือกกลัวยจะไปทำอะไรได้หลายคนเชื่ออยากนั้น แต่รู้ไหมว่า เปลือกกลัวยนั้นสามารถทำให้ฟันและเหงือกของคุณขาวขึ้นได้ เพราะแค่น้ำมาถู บนฟันและเหงือก จะช่วยให้ฟันของคุณขาวขึ้น เพราะเปลือกกลัวยนั้นเต็มไปด้วยวิตามินและแร่ธาตุที่จะช่วยให้ฟันของคุณขาวขึ้น
สูตรที่ 5 ออยล์ พูลลิ่ง หลายคนคงได้ยินคำว่า ออยล์ พูลลิ่ง หรือการอมน้ำมันมะพร้าวมากลั้วปากแลัวบ้วนทิ้ง วิธีนี้เป็นอีกวิธีที่ได้เห็นผลดีแถวยังดีต่อสุขภาพแลัวยังให้ช่วยให้ฟันของคุณขาวขึ้น เป็นไงละ 5 สูตรที่ช่วยให้คุณฟันขาวขึ้นการดูแลฟันของคุณนั้นไม่อยากเลย ของใช้แต่ละอย่างนั้นก็หามาง่ายแถมยังไม่แพง แค่นี้ก็หมดปัญหาฟันเหลือง
ส่วนเรื่องปัญหาหินปูนนั้น เรามีเคล็ดง่ายๆที่จะไม่ให้มันเกิดขึ้น วิธีแก้ปัญหาเจ้าหินปูน สำหรับการแก้ปัญหานั้น เราก็สามารถจัดการได้โดยไม่ต้องพึ่งคนรอบข้าง ได้แก่ แปรงฟันอย่างน้อยวันละ 2 ครั้ง และใช้แปรงสีฟันที่มีขนแปรงนุ่ม ปลายมนไม่แหลม ส่วนการแปรงให้เน้นตรงรอยต่อระหว่างเหงือกและฟัน ส่วนยาสีฟันที่ใช้ ควรมีส่วนผสมของฟลูออไรต์ประกอบอยู่ ซึงถ้าจะให้ดี ควรใช่ไหมขัดฟันช่วยได้เช่นเดียวกัน แต่ใช้ได้แค่วันละครั้งเท่านั้น, ไม่ควรทานอาหารบ่อย หลีกเลี่ยงอาหารหรือขนมหวาน ซึ่ง ผักและผลไม้ น่าจะเป็นอาหารว่างที่ดีทีสุดสำหรับสุขภาพปากและฟัน และควรตรวจสุขภาพฟันทุก 6 เดือน หากไม่อยากมีปัญหา
อ่านข่าวที่เกี่ยวข้อง
-ง่ายมากๆ !! แค่ทำตามวิธีนี้ คราบแบคทีเรีย และหินปูน จะหมดไปแบบถาวร


